TAC de corte de 128
Detector de ultra ancho de 5 a 40 mm
Tubo con rodamiento de metal líquido, capacidad equivalente a 21 MHU
Sistema de navegación 3D con IA Tele-Eye
Sistema de control inteligente OneDock
Tecnología de iteración ImageClarity
Tecnología de control automático de dosis VMA
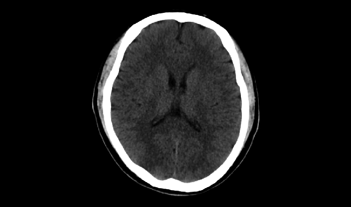
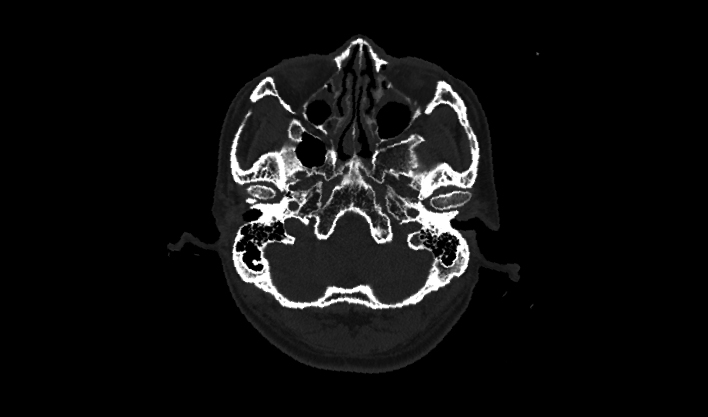
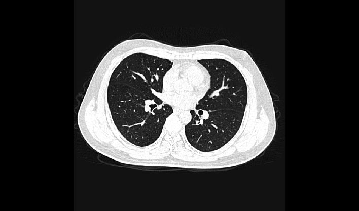
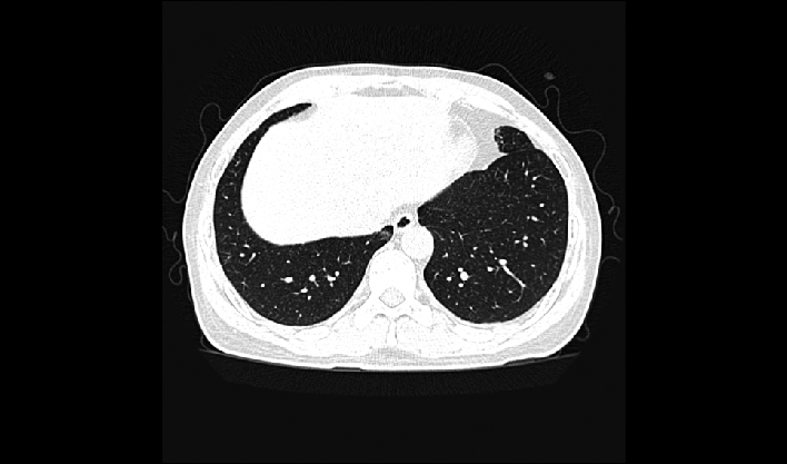
Índice de calidad de imagen
Escaneo rápido
Imágenes de 1 millón de píxeles
Cobertura axial de 40 mm
Permite escaneos de áreas extensas de diversas partes del cuerpo
Escaneo pulmonar completo en 3 segundos
Reducción de artefactos respiratorios

Alta eficiencia
Sin necesidad de tiempo de arranque, lo que acorta el tiempo total de examen, ideal para exámenes de emergencia de alto rendimiento.
Prolongada vida útil
Cuando el ánodo gira, el rodamiento de metal líquido gira prácticamente sin fricción, lo que resulta en menos vibración, ruido y calor, y un bajo desgaste del sistema, prolongando así la vida útil del tubo.
Alta disipación de calor
Al sustituir el rodamiento de rodillos tradicional por un rodamiento de metal líquido, se aumenta el área de conducción del calor y la eficiencia, reduciendo así las interrupciones causadas por la protección térmica del tubo y permitiendo exámenes rápidos.

Índice de Calidad de Imagen
El sistema recomienda automáticamente los mA adecuados para la exploración actual del paciente, basándose en el protocolo de examen actual, el peso del paciente y el nivel de ruido de imagen deseado para el diagnóstico del médico.
Tecnología de control automático de dosis VMA
El sistema ajusta automáticamente los mA de exposición en tiempo real según la diferente densidad tisular del área escaneada para evitar la radiación innecesaria por sobreexposición.
Algoritmo de iteración ImageClarity
Basado en datos reales del sistema, genera dinámicamente un modelo de ruido del sistema para realizar la eliminación de ruido iterativa de doble dominio, tanto en los dominios de datos como de imagen, mejorando la resolución de bajo contraste y manteniendo la alta resolución del sistema.

Sistema de navegación 3D con IA Tele-Eye
Mediante algoritmos de reconocimiento de IA, podemos lograr el posicionamiento automático del paciente, la configuración automática del rango de escaneo para el posicionamiento de imágenes, el posicionamiento del paciente con un solo clic y la operación remota desde una habitación separada, mejorando eficazmente la eficiencia del trabajo y la calidad de la imagen.
Sistema de control inteligente
OneDock
Plataforma de examen integral junto a la cama que permite el registro del paciente, la selección del protocolo de examen y el ajuste del rango y la dirección del escaneo con un solo clic.

iPACS - Aspectos destacados
Estaciones de trabajo de diagnóstico local profesionales, brinda excelente experiencia PACS intrahospitalaria gracias a PACS mejorado con IA y servicios expertos
iPACS - Escenarios
Integración de diagnóstico profesional, diagnóstico con IA y control de calidad, interconexión de dispositivos, colaboración en imágenes móviles y atención al paciente















WeChat
Twitter
Linkedin
Contáctenos
010-84575792/3/5/6
international@wandong.com.cn