Alta potencia garantiza un alto rendimiento
Tubo de rodamiento de metal líquido de 5MHU
Escáneo rápido a 0.49s/r
Tecnología de reducción de dosis omnipresente
Sistema de navegación 3D con IA Tele-Eye
Sistema de control inteligente OneDock
Reduce el desgaste del sistema y extiende la vida útil del tubo de rayos X, con alta disipación de calor para soportar demandas continuas de escaneo de alto volumen.
La potencia máxima equivalente del sistema puede alcanzar los 166kW.
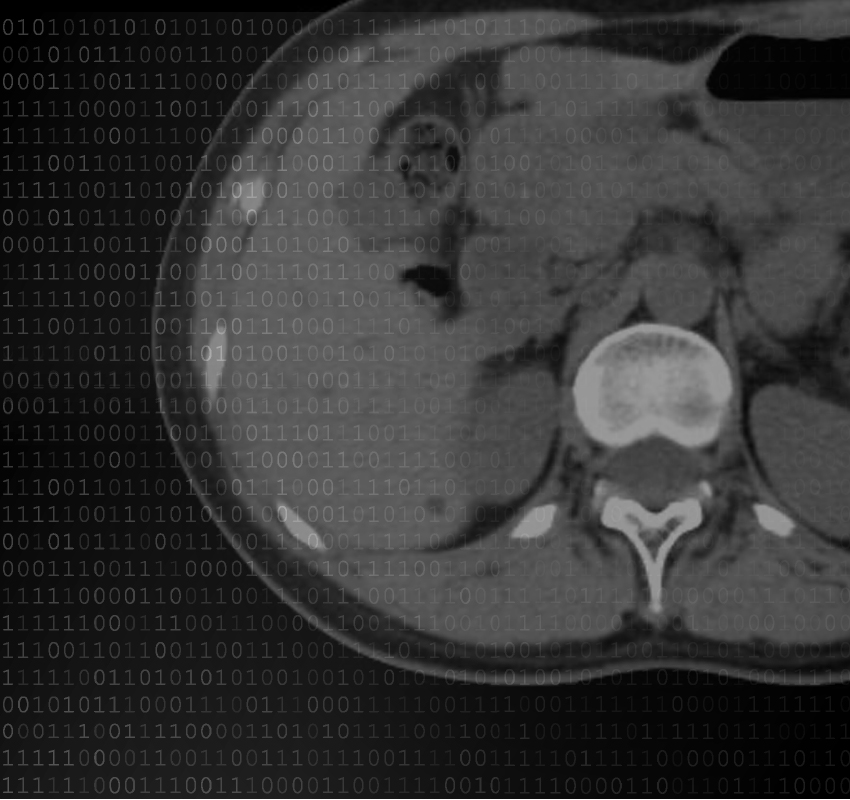
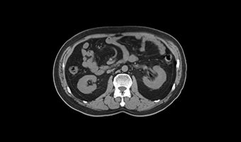
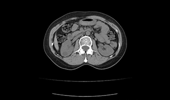
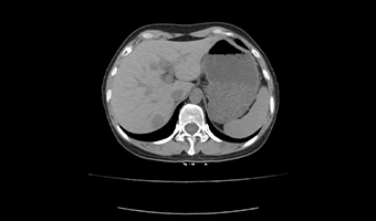
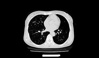
La combinación de adquisición de alta velocidad e imágenes de alta definición mejora la comodidad del paciente y la precisión del diagnóstico, lo que reduce la probabilidad de artefactos de movimiento.

Diseño de reducción fuerte de ruido
Los chips integrados de detector generan un bajo ruido electrónico y logran imágenes de alta definición con baja dosis.
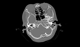
Material de alto rendimiento
Basado en la tecnología de optimización, el detector opera de manera constante en un estado de bajo ruido de electrones.
Control automático de temperatura
Equipado con tecnología de termostato automatizado para garantizar la estabilidad del sistema detector.

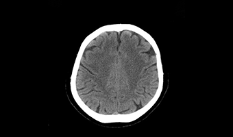
Algoritmo de eliminación de ruido de campo dual ImageClarity
La reducción iterativa de ruido superpuesta en los dominios de datos e imágenes, se realiza a través de una optimización paso a paso de artefactos y ruidos, manteniendo y restaurando la señal real. Es capaz de mantener la capacidad de alta resolución del sistema mientras mejora la resolución de contraste.
Tecnología múltiple de reducción de dosis
La tecnología inteligente de ajuste de fotones DoseClarity, el filtrado de metales FiltrationClarity y el algoritmo de baja dosis ChildClarity para niños proporcionan un ajuste personalizado de la dosis según las condiciones reales, reduciendo significativamente la exposición a la radiación.

Sistema de navegación 3D con IA Tele-Eye
Al reconocer de forma automática y precisa la posición del paciente para generar una imagen de exploración, el sistema logra un escaneo preciso del posicionamiento en el compartimento.
Sistema de control inteligente OneDock
Sistema de examen integral junto a la mesa, fácil de usar con una sola tecla.








WeChat
Twitter
Linkedin
Contáctenos
010-84575792/3/5/6
international@wandong.com.cn