Imágenes de Alta definición con Alto rendimiento
Tubo de rodamiento de metal líquido de 5MHU
0,49 s/r +0,5 mm de espesor de corte
Tecnología de eliminación de ruido por iteración de superposición ImageClarity
Sistema de navegación 3D-IA Tele-Eye
Sistema de control inteligente OneDock
Alta disipación de calor
Vida útil prolongada
Alta eficiencia
Bajo ruido
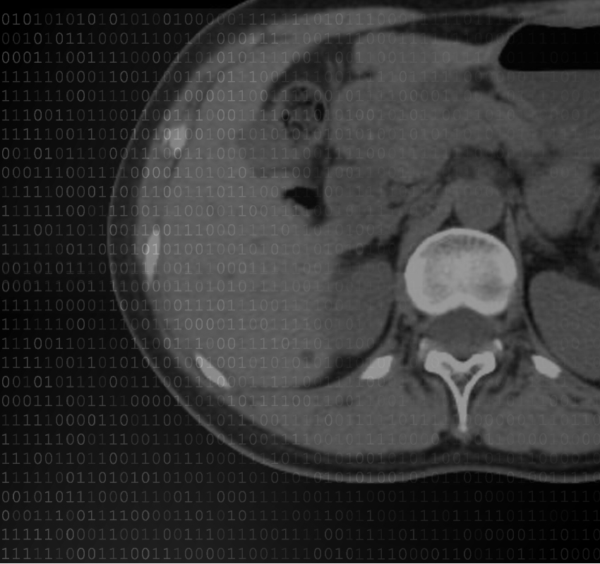
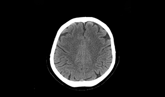
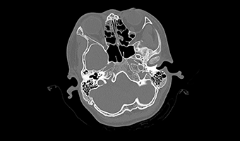
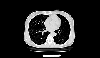
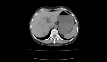
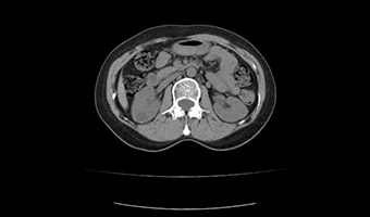
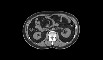
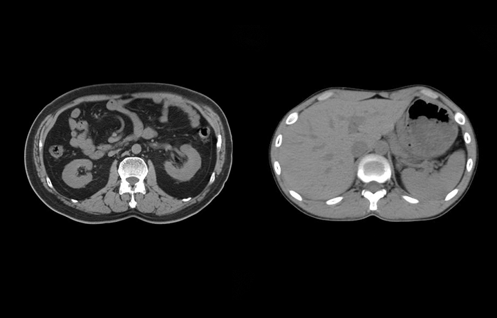
Matrix de 1024x1024, imagen de precisión con millones de píxeles
Mejor resolución de imagen a un escáneo más rápido, reduciendo afectación por artifacto de movimiento

Reducción fuerte de ruido
Los chips detectores integrados generan un bajo ruido electrónico y logran imágenes de alta definición con baja dosis.
Alto rendimiento
Basado en la tecnología de optimización, el detector opera de manera constante en un estado de bajo ruido de electrones.
Alta estabilidad
Equipado con tecnología de termostato automatizado para garantizar la estabilidad del sistema detector.

Tecnología de eliminación de ruido por iteración de superposición ImageClarity
Se realizan iteraciones de doble dominio en los dominios de datos e imágenes para optimizar el procesamiento de artefactos y ruido paso a paso, reduciendo el ruido y manteniendo una alta resolución de imagen.
Tecnología múltiple de dosis baja
Tecnología de ajuste inteligente de fotones DoseClarity; Tecnología de filtrado de metales FiltrationClarity; Algoritmo de dosis baja para niños ChildClarity

Proceso eficiente
Al reconocer de forma automática y precisa la posición del paciente para generar una imagen de exploración, el sistema logra un escaneo preciso del posicionamiento en la sala de control.
Sistema de control inteligente
OneDock
Sistema de examen integral junto a la mesa, fácil de usar con una sola tecla.

Apertura grande de 76 cm
Mejora la comodidad del paciente y atiende los exámenes que requieren un posicionamiento especial.
Mesa Elevadora Automática
La mesa se puede bajar hasta 460 mm para facilitar a los niños, pacientes en silla de ruedas y pacientes en cama de transferencia.








WeChat
Twitter
Linkedin
Contáctenos
010-84575792/3/5/6
international@wandong.com.cn